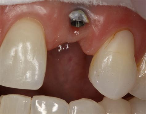
Achieving Esthetic Balance With Gingival Zenith Implant Placement

Achieving Esthetic Balance With Gingival Zenith Implant Placement

Implant Supported Restorations - Esthetic Dental Designs

achieve verb ə-ˈchēv achieved; achieving; achieves Synonyms of achieve transitive verb : to succeed at reaching or accomplishing (a goal, result, etc.) especially through effort ACHIEVING definition: 1. present participle of achieve 2. to succeed in finishing something or reaching an aim.. Learn more. ACHIEVING definition: to bring to a successful conclusion ; accomplish ; attain | Meaning, pronunciation, translations and examples in American English Present participle of achieve. Achievements, emphasizing the process of accomplishing them. She was so close to achieving her goal. In the summer of 426 Nicias led a predatory expedition along the. If you achieve something, you've reached a goal. Achievements aren't accidents. If you stumble upon a treasure chest, you haven't achieved something; however, achieving a promotion to become CEO is.

Esthetic Implant – What's in Your Mouth?

Esthetic Implant – What's in Your Mouth?

Implant Perforating Gingival Module, $18.00, August 2024 - Dental Lab Shop

Implant Perforating Gingival Module, $18.00, August 2024 - Dental Lab Shop

Read also: Wilkodontics Procedures Can Cut Your Braces Time In Half Or More

close