Applying Color Science To Shade Matching In Composites

Applying Color Science To Shade Matching In Composites

Color matching scoops. - FIBER Composites INC.

Dec 10, 2025 · Explore this comprehensive how-to guide on applying for a job, with step-by-step advice to help launch your career, with guidance from Indeed Career Scout. Applying for government assistance benefits is free. Clients can apply online for free by using the Office of Economic Self Sufficiency Self Service Portal or by visiting a DCF Community Partner. If you. Jul 17, 2024 · Whether you're currently employed and casually looking for a new position or are job hunting full-time, applying for a job is an active process. Starting with the search, you'll pick your. Dec 12, 2022 · Learn everything you need to know about applying for a job, including where to look for jobs, when to apply and how to submit an application. APPLYING meaning: 1. present participle of apply 2. to request something, usually officially, especially in writing.. Learn more.

Jul 13, 2025 · Applying for jobs can be a really stressful process, so you likely want to do anything you can to increase your chances of success. Fortunately, there are tips and techniques you can use to. If you apply something such as a rule, system, or skill, you use it in a situation or activity. The Government appears to be applying the same principle. [VERB noun] His project is concerned with.

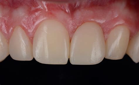
Color and Shade Matching in Dentistry

Color and Shade Matching in Dentistry

Stabilizing complex cases with single shade composites - Styleitaliano.org

Stabilizing complex cases with single shade composites - Styleitaliano.org

Read also: Computerized Design For Anterior Dentition Is The New Goal

close