Ceramic Infused Liquids Will Soon Improve Resin Based Fillings

Ceramic Infused Liquids Will Soon Improve Resin Based Fillings

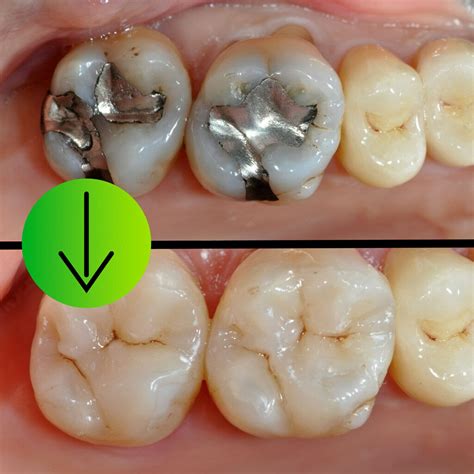
Composite Resin Fillings | Nadim J Jubran DDS PC

Brix Carlisle Resin Joint & Infused Joints for Sale - The Best Smoking

Brix Carlisle Resin Joint & Infused Joints for Sale - The Best Smoking ...

What Is Composite Resin Fillings

What Is Composite Resin Fillings

Read also: Comprehensive Search Tool For Dental Continuing Education Courses

close