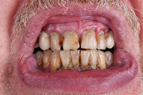
Clinical Experts Explain The Specific Chemical Causes Of Meth Head Teeth

Clinical Experts Explain The Specific Chemical Causes Of Meth Head Teeth

Meth Head (2013) - Rotten Tomatoes

The meaning of CLINICAL is of, relating to, or conducted in or as if in a clinic. How to use clinical in a sentence. CLINICAL definition: pertaining to a clinic. See examples of clinical used in a sentence. CLINICAL definition: 1. used to refer to medical work or teaching that relates to the examination and treatment of ill.. Learn more. Clinical depression [=depression that is a medical condition] is more serious than the occasional bouts of sadness that most people deal with. She has been the clinical director [=the director of a clinic] here. There are two types of clinical studies: interventional studies (also called clinical trials) and observational studies. The unique identification code given to each clinical study upon registration at.

CLINICAL definition: 1. relating to medical treatment and tests: 2. only considering facts and not influenced by.. Learn more. The Centre for Clinical Research is a research services centre supporting the research community. Administrative Switchboard: 902-473-7906. There is no fee for patient visitor parking. The parking lot. Clinical Labs of Hawaii is a medical laboratory testing company offering a full range of clinical, anatomical, drug, and blood tests in Hawaii.

Meth head SpongeBob : r/MeatCanyon

Meth head SpongeBob : r/MeatCanyon

Chemical Makeup Of Crystal Meth | Saubhaya Makeup

Chemical Makeup Of Crystal Meth | Saubhaya Makeup

Read also: Doctors Explain Why Anesthetic Injections Must Be Given Slowly

close