Dentists Argue Over The Best Shades Of Composite For Front Teeth
Browse dentist profiles on U.S. News based on specialty to find the best dentist for you in your area. We found 34 general-dentists in Boydton, VA. The average patient rating of general-dentists . Find great The Villages, FL dentists. U.S. News & World Report provides information on thousands of dentists to help you find the right one. Browse dentist profiles on U.S. News based on specialty to find the best dentist for you in your area. We found 11551 general-dentists in Florida. The average patient rating of general-dentists in . Find great Kentucky dentists. U.S. News & World Report provides information on thousands of dentists to help you find the right one. Find great Hugo, OK dentists. U.S. News & World Report provides information on thousands of dentists to help you find the right one.
Find great New York, NY dentists. U.S. News & World Report provides information on thousands of dentists to help you find the right one. Search and compare dentists with US News and World Report, Filter through dentists by name, specialty and location. Find the Right Dentist for You U.S. News & World Report provides information on more than 150,000 dentists in the country. Find a dentist in your area that's the right fit for you.
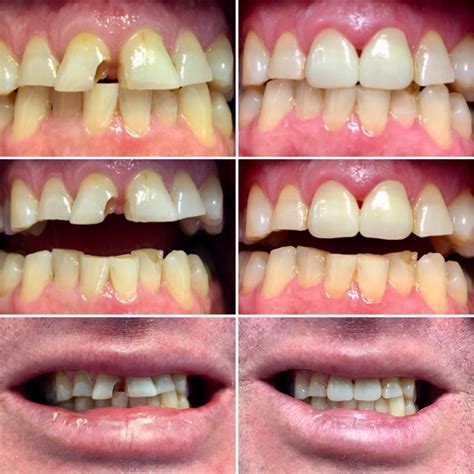
Before and After: Patient had old composite fillings on the two front ...
