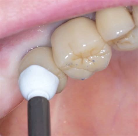
Digitally Scannable Impression Materials: Fewer Steps Mean Greater Precision

Digitally Scannable Impression Materials: Fewer Steps Mean Greater Precision

Ernest Agyemang Yeboah Quote: “The more steps you take towards the end

: relating to an audio recording method in which sound waves are represented digitally so that in the recording wow and flutter are eliminated and background noise is reduced Sound and pictures can be stored digitally. All outgoing calls will be digitally recorded. Definition of digitally adverb in Oxford Advanced Learner's Dictionary. Meaning, pronunciation, picture, example sentences, grammar, usage notes, synonyms and more. Define digitally. digitally synonyms, digitally pronunciation, digitally translation, English dictionary definition of digitally. adj. 1. a. Relating to or resembling a digit, especially a finger. b. Operated or. DIGITALLY definition: of, relating to, resembling, or possessing a digit or digits | Meaning, pronunciation, translations and examples in American English

Mar 11, 2025 · The correct spelling is digitally. The word “digitally” relates to digital technology or operation through digital methods. For example, if you say, “I signed the document digitally,” it. Mar 26, 2024 · "Digitaly" is the incorrect spelling; the right form is "Digitally," meaning in a digital manner. Mar 4, 2024 · In summary, the correct adverb form to describe something done in a digital manner is “digitally.” The incorrect form “digitaly” is a common mistake, but understanding the rules of adverb.

Hydrocolloid impression materials | PPTX

Hydrocolloid impression materials | PPTX

Ernest Agyemang Yeboah Quote: “The more steps you take towards the end

Ernest Agyemang Yeboah Quote: “The more steps you take towards the end ...

Read also: New Research Explains Why A Cement Dental Implant Might Be Necessary

close