Enhancing Clinician-Laboratory Communication For Complex Dental Cases

Enhancing Clinician-Laboratory Communication For Complex Dental Cases

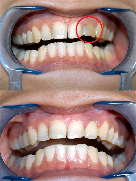
Treatment Planning a Complex Dental Case - Madison Prosthodontist

ENHANCING definition: to intensify or increase in quality, value, power, etc; improve ; augment | Meaning, pronunciation, translations and examples Find 84 different ways to say ENHANCING, along with antonyms, related words, and example sentences at Thesaurus.com. -ENHANCING definition: 1. improving the quality, amount, or strength of something: 2. improving the quality, amount, or.. Learn more. May 7, 2025 · Adjective enhancing (comparative more enhancing, superlative most enhancing) Acting or tending to enhance. Find 854 synonyms for enhancing and other similar words that you can use instead based on 7 separate contexts from our thesaurus.

Complex dental cases

Complex dental cases

Dental cases

Dental cases

Read also: Occlusal Excellence In A Digital World

close