Fibrin-Assisted Soft-Tissue Promotion For Root Coverage

Fibrin-Assisted Soft-Tissue Promotion For Root Coverage

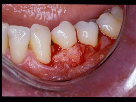
Soft Tissue Course Free Gingival Graft / Connective Tissue Graft / Root

Dec 2, 2011 · Fibrin is an insoluble protein that acts as a first responder whenever your body is injured. When the call for help goes out, fibrin molecules rush to the scene. Shaped like long threads, each. Aug 27, 2025 · Fibrin is a protein in your blood that plays a major role in stopping bleeding and aiding wound healing. It forms a mesh that stops blood flow. Fibrin (also called Factor Ia) is a fibrous, non-globular protein involved in the clotting of blood. It is formed by the action of the protease thrombin on fibrinogen, which causes it to polymerize. Fibrin (ogen) deposits at aberrant sites including the central nervous system or kidney, can also be pathological. In this review, we discuss disorders in which fibrinogen and fibrin are implicated,. Fibrin, an insoluble protein that is produced in response to bleeding and is the major component of the blood clot. Fibrin is a tough protein substance that is arranged in long fibrous chains; it is formed from.

Sep 17, 2022 · Fibrin is a strong insoluble protein produced by the body in response to bleeding. Whenever tissue damage (wound) results in bleeding, a soluble protein found in blood plasma called. Fibrin is defined as a protein that forms a mesh structure during the coagulation process, serving as a precursor to clot formation by providing a scaffold for platelets and other cells. How useful is this. 13 hours ago · Background. Fibrinogen levels are associated with bleeding disorders and thrombotic disease. Thrombin converts fibrinogen to fibrin, producing the load-bearing fibrin scaffold that. Apr 13, 2022 · Fibrinogen is a protein that helps with blood clotting. Your healthcare provider may order this test if you experience excessive bleeding. If you have low fibrinogen, you may have intravenous.

ROOT COVERAGE PROCEDURES | PPTX

ROOT COVERAGE PROCEDURES | PPTX

Root Coverage Gallery | Gum Recession Treatment Guelph

Root Coverage Gallery | Gum Recession Treatment Guelph

Read also: Increase Dental Practice Revenue By Offering New Cosmetic Services

close