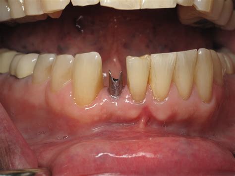
Insurance Changes Might Lower The Dental Implants Tucson Cost
Shopping for auto insurance? Looking to protect your home, condo, or apartment? Exploring life, health, or long-term care coverage? Just choose the product you're looking for and get an insurance rate. Auto Insurance: Are you covered? Some states require mandatory liability coverage for automobiles. Learn why your coverage is worth holding on to. Read More Learn about electronics insurance. Find state specific information like minimum coverage requirements and typical coverage types. Browse insurance by state. Get started with your claim quickly.. We provide insurance for a wide range of commercial vehicles, including trucks, trailers, cars, SUVs, and more. Our local agents provide coverage guidance for all your Virginia auto, home, farm, and life insurance needs. Connect with your local agent today.
Virginia Farm Bureau Insurance Company located at 123 Hull St, Boydton, VA 23917 - reviews, ratings, hours, phone number, directions, and more. Whether you’re shopping for your first car insurance policy or coverage for your vacation home, you need trusted expert advice to get the right insurance. We’ve got all of the expert guidance, up-to-date.
How Much Do Dental Implants Cost? - Access Dental Clinics
