Palatogingival Groove Issues Cause Deep Gum Pockets And Pain

Palatogingival Groove Issues Cause Deep Gum Pockets And Pain

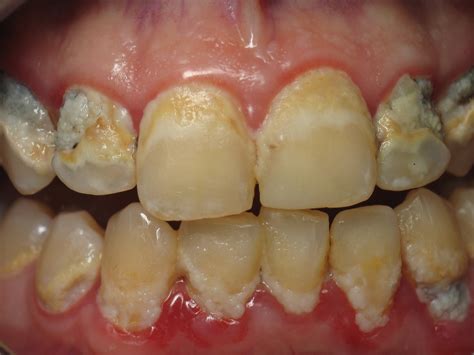
Cavities Cause Gum Pain And Tooth Sensitivity, Compare, Illness, Clean

Causes of Sore Gums & Gum Pain Treatment | Orajel™

Causes of Sore Gums & Gum Pain Treatment | Orajel™

Infected Gum Pockets - Elegant Dental Care

Infected Gum Pockets - Elegant Dental Care

Read also: Dental Protective Clothing Prevents The Spread Of Clinical Pathogens

close