Partial Denture Solutions For Restoring Severely Worn Teeth

Partial Denture Solutions For Restoring Severely Worn Teeth

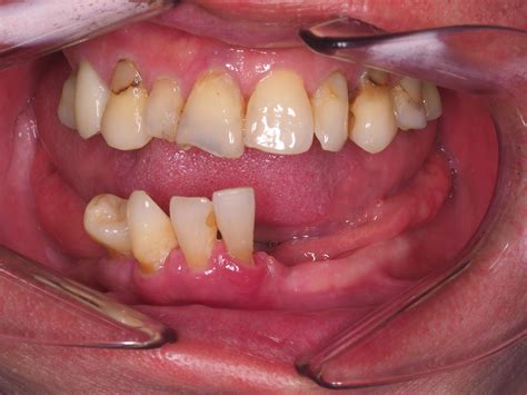
Restoring a severely worn teeth... - Uptown Dental Surgery

The meaning of PARTIAL is of or relating to a part rather than the whole : not general or total. How to use partial in a sentence. partial adjective (UNFAIR) influenced by the fact that you personally prefer or approve of something, so that you do not judge fairly: Of, relating to, being, or affecting only a part; not total; incomplete: The plan calls for partial deployment of missiles. The police have only a partial description of the suspect. PARTIAL definition: being such in part only; not total or general; incomplete: a partial payment of a debt. See examples of partial used in a sentence. Definition of partial adjective in Oxford Advanced Learner's Dictionary. Meaning, pronunciation, picture, example sentences, grammar, usage notes, synonyms and more.

Jan 20, 2026 · Adjective partial (comparative more partial, superlative most partial) Existing as a part or portion; incomplete. Partial refers to something that is not complete or whole, only a portion or segment of the total. It can also refer to a biased or one-sided perspective, showing favoritism or preference towards something. partial: Of, relating to, being, or affecting only a part; not total; incomplete. partial, adj. & n. meanings, etymology, pronunciation and more in the Oxford English Dictionary

Multiple CEREC Crowns: To Restore Severely Worn Teeth - Clinton Dental

Multiple CEREC Crowns: To Restore Severely Worn Teeth - Clinton Dental ...

Multiple CEREC Crowns: To Restore Severely Worn Teeth - Clinton Dental

Multiple CEREC Crowns: To Restore Severely Worn Teeth - Clinton Dental ...

Read also: Periodontal And Restorative Connections In Clinical Crown Lengthening

close