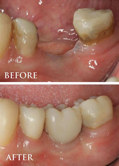
Periodontal Assistant Roles Are Expanding In Modern Clinics

Periodontal Assistant Roles Are Expanding In Modern Clinics

Roles and Responsibilities | The Physician Assistant Program | GW

Feb 24, 2023 · Flossing before you brush allows you to clean away the loosened food bits and bacteria. Good oral care keeps your teeth and gums clean and removes the bacteria that cause periodontal. Apr 10, 2023 · Periodontal disease — also called gum disease — refers to inflammation and infection of the tissues that support your teeth. Poor oral hygiene can result in gum disease. Dentists and dental hygienists measure periodontal disease using a device called a periodontal probe. This thin "measuring stick" is gently placed into the space between the gums and the teeth, and. May 15, 2024 · The key is good oral hygiene, overall self-care, and regular care from a dental health care provider. Periodontal disease refers to conditions that involve inflammation and infection of the. Learn about the causes, symptoms, diagnosis, and treatment of periodontal (gum) disease, an infection of the tissues that hold teeth in place.

Jun 9, 2022 · The goal of periodontal treatment is to eliminate dysbiotic plaque biofilm from the tooth surface and to establish an environment that allows the maintenance of health. Only your dental professional can perform periodontal treatment, which involves special dental procedures, and can require oral surgery. If your dental professional determines that you have.

Periodontal Disease Icon. Trendy Modern Flat Linear Vector Periodontal

Periodontal Disease Icon. Trendy Modern Flat Linear Vector Periodontal ...

We Use Modern Treatments To Fight Periodontal Bacteria | Encinitas, CA

We Use Modern Treatments To Fight Periodontal Bacteria | Encinitas, CA

Read also: Elevate Your Role With Quality Ce For Dental Assistants

close