Supporting Patients With Xerostomia Beyond Symptom Management

Supporting Patients With Xerostomia Beyond Symptom Management

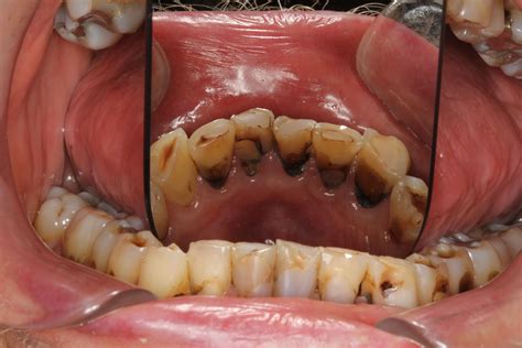
Xerostomia Management

Find 3,323 synonyms for supporting and other similar words that you can use instead based on 22 separate contexts from our thesaurus. n. 1. a. The act of supporting: Our candidate needs your support. b. The state of being supported: The candidate's support has been overwhelming. 2. One that supports: How many supports does the. Master the word "SUPPORTING" in English: definitions, translations, synonyms, pronunciations, examples, and grammar insights - all in one complete resource. SUPPORTING definition: (of a role) being a fairly important but not leading part, esp in a play or film See examples of supporting used in a sentence. These figures support my argument. You can't make a statement like that without any supporting documentation.

Supporting refers to the act of providing assistance, encouragement, or backing up someone or something. It can involve giving help or resources needed to function, sustain, or achieve a goal. Looking for the definition of supporting in English? We got 7 definitions of supporting with synonyms, antonyms, other related words, and meanings.

Xerostomia Causes Symptoms Treatment Xerostomia

Xerostomia Causes Symptoms Treatment Xerostomia

Symptom Management Guide

Symptom Management Guide

Read also: Laboratory Steps For Beading Of Maxillary Cast Explained Clearly

close