Why A Blunted Papilla Might Be A Sign Of Early Gum Disease

Why A Blunted Papilla Might Be A Sign Of Early Gum Disease

Gum Disease Early Stages

Mar 18, 2011 · "why" can be compared to an old Latin form qui, an ablative form, meaning how. Today "why" is used as a question word to ask the reason or purpose of something. This use might be.

Identifying Early Signs of Gum Disease and What to do About It

Identifying Early Signs of Gum Disease and What to do About It

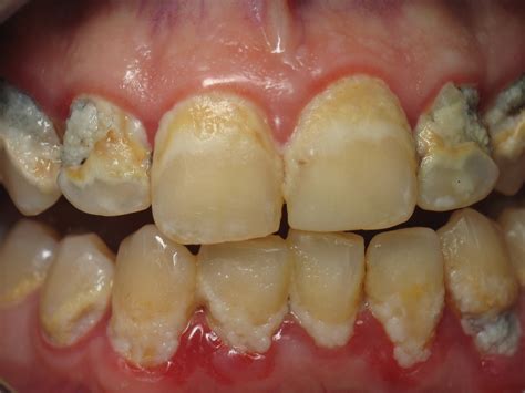
Gum Disease Early Stages

Gum Disease Early Stages

Read also: Decoding Classifications: Implications, Impact, And Future Of The BLS Occupation Designation For Dental Laboratory Technicians (Regulatory Standards CE)

close