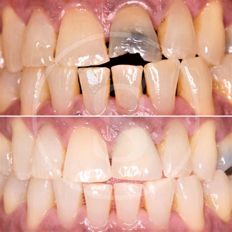
Why An Aesthetic Dentistry Course Covers More Than Veneers

Why An Aesthetic Dentistry Course Covers More Than Veneers

Veneers - Cos Cob, CT: Greenwich Dentistry: Family & Cosmetic Dentistry

Dental Veneers: Are Dental Veneers For Me? - Rolling Hills Dentistry

Dental Veneers: Are Dental Veneers For Me? - Rolling Hills Dentistry

Aesthetic dentistry course I Aesthetic dentistry courses online I

Aesthetic dentistry course I Aesthetic dentistry courses online I ...

Read also: Dermatologists Explain The Chemical Triggers Of Cinnamon Contact Stomatitis

close